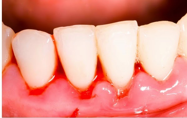
काठमाडौं । गिजाबाट रगत बग्ने समस्याबाट धेरै मानिस पीडित हुन्छन् । यसो हुनुमा विभिन्न कारण हुन्छन् । दाँत र गिँजाको नियमित सफाइ नगर्नु, मुखमा संक्रमण हुनु, भिटामिन सी को कमी, ल्युकेमिया जस्ता कारणले गिजाबाट रगत बग्नसक्छ । गिजाबाट रगत बग्ने समस्या धेरैलाई सामान्य लाग्न सक्छ । तर यसको परिणाम निकै जटिल समेत हुने भएकाले सचेतता अपनाउनुपर्छ ।
गिजालाई स्वस्थ राख्न र गिजाबाट रक्तश्राव हुने समस्या उत्पन्न हुन नदिनका लागि मुखको सफाइमा ध्यान दिने, नियमित रुपमा दाँत माझ्ने, अमिलो फल नियमित रुपमा खाने, दूधको नियमित भोजन, हरियो सागपातका साथै ल्वाङ, पदिना पनि गिजाको स्वास्थ्यका लागि लाभदायी हुन्छ । सूर्ति सेवनले समेत गिजालाई खराब गर्ने भएकाले सुर्तिको सेवन त्याग्नुपर्छ ।
भिटामिन सी को कमीका कारण पनि गिजाबाट रगत बग्ने भएकाले भिटामिन सी पाइने अमिला फल जस्तै सुन्तला, कागती खानुपर्छ । त्यस्तै तरकारीमा ब्रोकाउली, बन्दागोभीको नियमित सेवन गर्नु आवश्यक छ ।
दूधमा प्रसस्तै क्याल्सियमका साथै अन्य पौष्टिक तत्व समेत पाइने भएकाले त्यो गिजाको स्वास्थ्यका लागि अनिवार्य हुन्छ ।
नियमित रुपमा ल्वाङ चपाउने बानीले पनि मुख तथा गिँजालाई स्वस्थ राख्छ र यसले गिजा तथा मुखको संक्रमण रोक्दछ ।
तुलसीको पात दिनहुँ चपाउनुहोस् । यसले मुखको संक्रमणका साथै गिजाबाट हुने रक्तश्रावलाई कम गर्छ ।
दाँत माझि सकेपछि मनतातो नुनपानीले मुख कुल्ला गर्नाले पनि गिजाबाट हुने रक्तश्राव रोकिन्छ ।
ब्रस गरिसकेपछि हातका औलाले विस्तारै गिजालाई मालिस गर्नाले गिजा स्वस्थ हुन्छ र गिजामा रक्तप्रवाह पनि सन्तुलित हुन्छ ।
बोसोयुक्त तथा बढि गुलियो खानेकुरा कम खानुहोस् ।
यो खबर पढेर तपाईलाई कस्तो महसुस भयो ?








प्रतिक्रिया