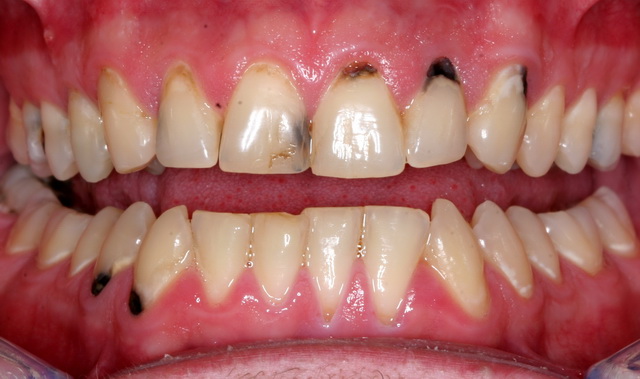
काठमाडौं । हिजोआज दाँत रोगीको संख्या बढेको छ । हरेक घरमा दाँतरोगीहरु भेटिन्छन् । अस्वस्थ्य खानपान र सरसफाईको कमीको कारण दाँतमा रोग देखिन्छ । दाँत बलियो राख्न केहि टिप्स फलो गर्नुहोस् ।
ज्यादै प्रशोधित, गुलियो र टाँसिने खाद्यपदार्थहरू खानुहुँदैन।
धूम्रपान, मद्यपानजस्ता कुलतको बानी छ भने त्यागिहाल्नुहोस् ।
अति तातो, चिसो, साह्रो, अमिलो चिज खानुहुँदैन ।
मानिसको दाँत बिगार्ने कारणमध्ये यो पनि एक हो कोल्ड ड्रिंक्स । यसबाट टाढै रहनुहोस् ।
अमिलो रसहरू सेवन गर्नुहुँदैन । गर्नेपरेमा पाइपको प्रयोग गर्नुपर्छ । यसो भयो भने दाँतमा नछोईकन रस निल्न सकिन्छ । सन्तुलित खाना सेवन गर्नुपर्छ ।
खानेकुरा खाँदा रेसादार खाना, सागपात र आफ्नै करेसाबारी कौसीबारीमा उब्जिएका तरकारी फलफूल सेवन गर्नु दाँतका लागि निकै राम्रो हुन्छ ।
साह्रो लाग्ने कुरा छुर्पी, सुपारी, मासुको हड्डी केही पनि सकिनसकी टोक्नुहुँदैन । यस्तो खाने बानीले दाँत चोइटिन सक्छ । यस्ता खानेकुरा नखाएकै राम्रो हुन्छ ।
खाना खाइसकेपछि दाँत माझ्न अथवा कुल्ला गर्न कहिल्यै बिर्सनुहुँदैन ।
धेरैपटक खानुभन्दा थोरैपटक ठिक्क मात्रामा खाने गर्नुपर्छ ।
फास्टफुड, जंकफुड खाँदै नखाने ।
बढी गाढा भएका, बुट्टा भरेका मिठाईहरू नखाने, अत्याधिक गुलियो नखाने।
यो खबर पढेर तपाईलाई कस्तो महसुस भयो ?










प्रतिक्रिया